About our offices
Contact us
Patient zone
Kid zone
Patient Zone

Post-Treatment Care at Home

Before & After Pictures

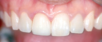
Veneers

Before
After
Facettes
Facettes

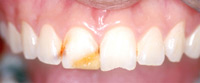
Whitening

Before
After
Blanchiment
Blanchiment

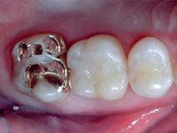
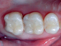
Crown

Before
After
Couronne
Couronne
7606 Village Centre Place
Suite 1
Greely, on
613 821-1257
 
3192 logan farm dr.
osgoode, on
613 826-1638